Препараты и схемы "Кожа"

Схема 1. Структуры кожи. Mescher A.L. Junqueira`s Basic Histology. Text & Atlas. 13th edition

Схема 2. Эпидермис. Mescher A.L. Junqueira`s Basic Histology. Text & Atlas. 13th edition

Схема 3. Меланоцит. Mescher A.L. Junqueira`s Basic Histology. Text & Atlas. 13th edition

Схема 4. Повреждение и регенерация кожи. Mescher A.L. Junqueira`s Basic Histology. Text & Atlas. 13th edition

Схема 5. Расчесывание часто является непреодолимой, стереотипной и эволюционно консервативной поведенческой реакцией на ощущение кожного зуда. При многих распространенных кожных заболеваниях, таких как дерматит (экзема), затяжной зуд, или прурит, является доминирующим симптомом. Расчесывание в ответ на зуд усугубляет дерматит и представляется патогенным при некоторых заболеваниях. Зуд, ощущение, которое стимулирует расчесывание, часто вызывается раздражителями кожи и воспалением. Выключение нейронов, чувствительных к зуду, или предотвращение расчесывания уменьшают воспаление, связанное с антигензависимыми реакциями тучных клеток в ответ на действие аллергена. Расчесывание способствует высвобождению ноцицептивными нейронами нейропептида, который стимулирует тучные клетки, и этот пептид действует однонаправленно с антигензависимой активацией, увеличивая дегрануляцию тучных клеток и их способность вырабатывать воспалительные медиаторы. В модели кожной инфекции, связанной с антиген-специфическими реакциями тучных клеток, расчесывание способствовало снижению бактериальной нагрузки.
Расчесывание синергизируется с активацией тучных клеток FcεRI, вызывая аллергическое воспаление кожи.
Кластеризация на поверхности тучных клеток комплексов высокоаффинных рецепторов Fc-фрагмента иммуноглобулина E с самим IgE против аллергенов золотистого стафилококка S. aureus активирует высвобождение тучными клетками зудогенов (они же пруритогены), т.е. факторов, вызывающих зуд, которые регистрируются нейронами, экспрессирующими рецепторы Mas-related G protein-coupled receptors member A3 (MrgprA3), ключевого регулятора нейроиммунных взаимодействий. Расчесывание, вызванное ощущением зуда, активирует чувствительные нейроны, экспрессирующие рецепторы химического раздражителя Trpv1 (transient receptor potential vanilloid 1), для высвобождения нейромедиатора вещества Р (SP). SP, действующее как лиганд через связанный с G-белком рецептор MrgprB2 на тучные клетках, синергизируется с FcεRI, усиливая высвобождение тучными клетками фактора некроза опухоли (TNF), что приводит к усилению воспаления кожи и защиты от действия патогенных микроорганизмов, например, S. aureus (Liu et al., 2025 DOI: 10.1126/science.adn9390)

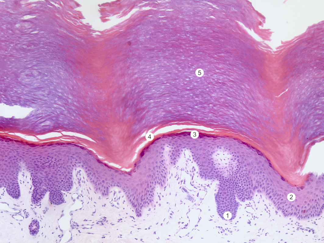
Препарат 1. Кожа с большим ороговением (кожа пальца). При малом увеличении видно, что в толстой коже имеется наружная эпителиальная часть — эпидермис. Под эпидермисом располагается соединительнотканная часть кожи — собственно кожа, или дерма. Эпидермис представлен многослойным плоским ороговевающим эпителием. Поверхность эпителия неровная, что обусловлено вдающимися в эпителий сосочками собственно кожи. В эпидермисе толстой кожи различают 5 слоев. Ростковый слой состоит из высоких кубических или низких призматических клеток базального слоя, связанных с базальной мембраной (1), и слоя шиповатых клеток, образованного 3–10 слоями (2). Клетки шиповатого слоя имеют ромбовидную форму и образуют короткие цитоплазматические отростки — шипики. Зернистый слой расположен над шиповатым и состоит из 2–3 слоев зернистых клеток, содержащих темноокрашенные гранулы кератогиалина (3). Блестящий слой (4) находится над зернистым, клетки содержат элеидин — продукт, образующийся из кератогиалина. Клетки не имеют ядер и органелл. Границы между клетками незаметны. На препарате слой выглядит как блестящая гомогенная полоска. Поверхностный толстый роговой слой (5) представлен уплощенными омертвевшими клетками, содержащими кератин, — роговыми чешуйками. Соединительнотканная часть кожи состоит из двух слоев. Непосредственно под эпидермисом, вдаваясь в него в виде высоких неправильной формы сосочков, располагается рыхлая волокнистая соединительная ткань — сосочковый слой. Слой содержит тонкие коллагеновые и эластические волокна, фибробласты, макрофаги, тучные клетки, капиллярные петли. Под сосочковым слоем расположен более толстый сетчатый слой, представленный плотной волокнистой неоформленной соединительной тканью. Для этого слоя характерно довольно плотное и беспорядочное переплетение толстых коллагеновых и тонких эластических волокон. Коллагеновые волокна образуют косо идущие пучки, проникающие в подкожно-жировую клетчатку. В сетчатом слое толстой кожи на границе с подкожно-жировой клетчаткой расположены секреторные отделы потовых желез. Гематоксилин, пикроиндигокармин. Препарат кафедры гистологии, цитологии и эмбриологии Казанского ГМУ.

Препарат 2. Тонкая кожа с железами и волосяными фолликулами. Кожа с малым ороговением состоит из тех же слоев, что и кожа с большим ороговением: эпидермис (1) и собственно кожа (2), переходящая в подкожную клетчатку (3). Эпидермис значительно тоньше, в нем отсутствует блестящий и иногда зернистый слой. Роговой слой относительно тонкий (до 10 мкм), содержащий 10–15 слоев роговых чешуек. Потовая железа — простая неразветвленная трубчатая (4). Выводной проток длинный, выстлан двух — трехслойным эпителием. В верхней части (в эпидермисе) имеет спиралевидный ход и образован кератиноцитами. Секреторный отдел — трубочка, свернутая в клубочек, — на препарате виден как группа цистерн различных размеров. Секреторный отдел образован одним слоем крупных кубических секреторных клеток. Снаружи к железе примыкают миоэпителиальные клетки, удлиненные ядра которых видны на препарате. Гематоксилин, пикроиндигокармин. Препарат кафедры гистологии, цитологии и эмбриологии Казанского ГМУ.

Препарат 3. Сальная железа. Эта простая разветвленная альвеолярная железа связана с волосом (1). Секреторный отдел состоит из нескольких альвеол (2), по периферии которых располагаются камбиальные клетки. Центральная часть секреторного отдела представлена крупными светлоокрашенными клетками с центрально расположенным ядром, содержащими капли жира. Границы между клетками хорошо различимы. Железа имеет короткий выводной проток (3), стенка которого образована многослойным эпителием. Препарат кафедры гистологии, цитологии и эмбриологии Казанского ГМУ.

Препарат 4. Кожа волосистой части головы (поперечный срез волоса). Срез сделан параллельно поверхности кожи, поэтому корни волос на препарате видны в поперечном сечении. Так как корни волос залегают в сетчатом слое на разных уровнях, на препарате видны срезы через корни волос на разных расстояниях от волосяной луковицы. Под большим увеличением микроскопа видно, что центральную часть поперечно срезанного корня волоса занимает собственно волос, в центре которого можно различить мозговое вещество (1), а снаружи от него располагается корковое вещество (2), покрытое кутикулой. Мозговое и корковое вещество состоит из ороговевших эпителиальных клеток, содержащих пигментные гранулы. Кутикула представлена одним слоем уплощенных ороговевших эпителиальных клеток и обращена к внутреннему корневому влагалищу (3), расположенному снаружи от собственно волоса. Во внутреннем корневом влагалище различают 2 слоя: внутренний — слой полуороговевших эпителиальных клеток и наружный — слой бледных ороговевших клеток. Снаружи от внутреннего корневого влагалища локализуется толстый пласт из 6–10 слоев эпителиальных клеток — наружное корневое влагалище (4). В нем наружные клетки имеют цилиндрическую форму и располагаются на толстой базальной (стекловидной) мембране, вокруг которой находится волосяная сумка, состоящая из внутреннего и наружного слоев волокнистой соединительной ткани. Во внутреннем слое волокна соединительной ткани проходят преимущественно циркулярно (5), в наружном слое — продольно (6). Гематоксилин, пикроиндигокармин. Препарат кафедры гистологии, цитологии и эмбриологии Казанского ГМУ.