Тематический план
Общее
Общая информация о курсе
Цель и задачи дополнительной профессиональной программы повышения квалификации «Современные возможности ультразвукового исследования в диагностике воспалительных заболеваний кишечника» со сроком освоения 36 академических часов:
Цель – совершенствование профессиональных знаний и компетенций врача, необходимых для профессиональной деятельности в рамках имеющейся квалификации по вопросам ультразвуковой диагностики воспалительных заболеваний кишечника; особенностей ультразвукового мониторинга пациентов; современных возможностей ультразвукового исследования кишечника.
Задачи:
1. Совершенствование профессиональных компетенций при ведении пациентов с воспалительными заболеваниями кишечника.
2. Совершенствование знаний по интерпретации ультразвуковых параметров оценки кишечной стенки и ультразвуковых индексов при воспалительных заболеваниях кишечника
3. Совершенствование профессиональных компетенций при ультразвуковом мониторинге пациентов с воспалительными заболеваниями кишечника
4. Формирование знаний, направленных на современные возможности ультразвуковой визуализации кишечника при воспалительных заболеваниях кишечника – эластографии, применение сонографических контрастных препаратов и т.д.
Категории обучающихся: основная специальность – «Гастроэнтерология»;
дополнительные специальности – «Терапия», «Общая врачебная практика (семейная медицина)», «Лечебное дело», «Организация здравоохранения и общественное здоровье», «Диетология», «Ультразвуковая диагностика», «Педиатрия», «Хирургия», «Колопроктология».
Авторы и преподаватели курса:
д.м.н., профессор, заведующая кафедрой Абдулганиева Диана Ильдаровна

к.м.н., ассистент, Мухаметова Диляра Дамировна (куратор курса)
Современное представление о воспалительных заболеваниях кишечника

Лабораторные и инструментальные методы диагностики воспалительных заболеваний кишечника

Цели терапии при ведении пациентов с воспалительными заболеваниями кишечника в рамках стратегии «Лечение до достижения цели»

Осложнения язвенного колита и болезни Крона
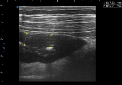
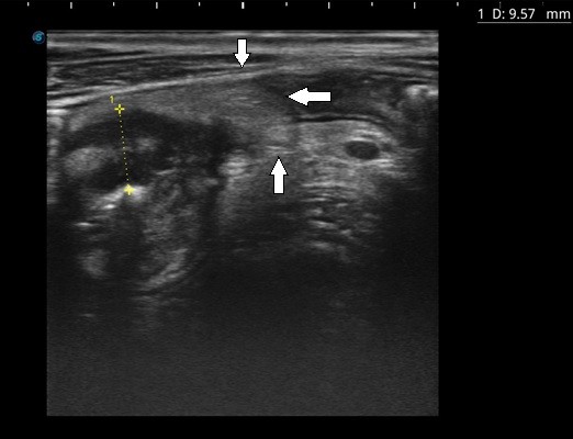
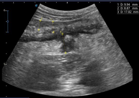
Трансабдоминальное ультразвуковое исследование кишечника как неинвазивный метод диагностики: подготовка, техника, интерпретация

Ультразвуковые признаки язвенного колита, ультразвуковые индексы для оценки активности язвенного колита

Ультразвуковые признаки болезни Крона, ультразвуковые индексы для оценки активности болезни Крона

Дополнительные возможности ультразвукового исследования при воспалительных заболеваниях кишечника – эластография кишечной стенки, применение эхоконтрастных препаратов

Ультразвуковое исследование для выявления осложнений воспалительных заболеваний кишечника

Учебное пособие
Зачетное тестирование