Препараты и схемы "Мозжечок"

 

Схема 1. Мозжечок как часть ствола мозга https://storage.googleapis.com/dl.dentistrykey.com/clinical/BrainstemCerebellumandCranialNerves/5_3s20B978032381280100010X.jpg

 

Схема 2. Связи нейронов в коре мозжечка (Chen Lu, 2008)

 

Схема 3. Схема организации коры мозжечка. Интернейроны молекулярного слоя (ИМС) имеют сложные афферентные и эфферентные связи. ИМС получают возбуждающие сигналы от восходящих аксонов клеток-зерен (КЗ) и параллельных волокон, которые собирают и обрабатывают информацию, доставляемую из других областей мозга моховидными волокнами. ИМС также получают входные сигналы возбуждающих восходящих волокон, происходящих из нижних олив (продолговатый мозг) посредством глутаматной синаптической передачи (желтая заливка). Множественные локальные химические (1) и электрические (2) синаптические связи между корзинчатыми (КК) и звездчатыми клетками (ЗК) организуют ИМС в кластеры, которые обеспечивают сильный ингибирующий контроль активности грушевидных (Пуркинье) нейронов (КП). Активность ИМС дополнительно регулируется аутаптическим ингибированием с участием аутапса (аутосинапса, синаптического контакта рекуррентной ветви аксона с дендритом или телом собственного нейрона) (3) и побочными входами КП в подмножество ИМС (4). Предполагается ингибирующее влияние клеток Люгаро (КЛ) на ИМС (5), но его функция еще не определена. Нейроны глубоких ядер мозжечка обозначены как ГЯМ (Kim, Augustine, 2021).

 

 

Схема 4. Глубокие ядра мозжечка (дорсальная поверхность). Это парные скопления серого вещества, залегающие в толще белого, ближе к середине, то есть червю мозжечка. Различают следующие глубокие ядра мозжечка: зубчатое (nucleus dentatus), залегает в медиально-нижних отделах белого вещества; пробковидное (nucleus emboliformis), расположено медиально и параллельно зубчатому ядру; шаровидное (nucleus globosus), залегает несколько медиальнее пробковидного ядра и на разрезе может быть представлено в виде нескольких небольших округлых структур; ядро шатра (nucleus fastigii). Глубокие ядра мозжечка получают сигналы из коры мозжечка и сенсорных трактов. Сигналы из глубоких ядер покидают мозжечок и направляются в другие отделы мозга (Chen Lu, 2008)

 


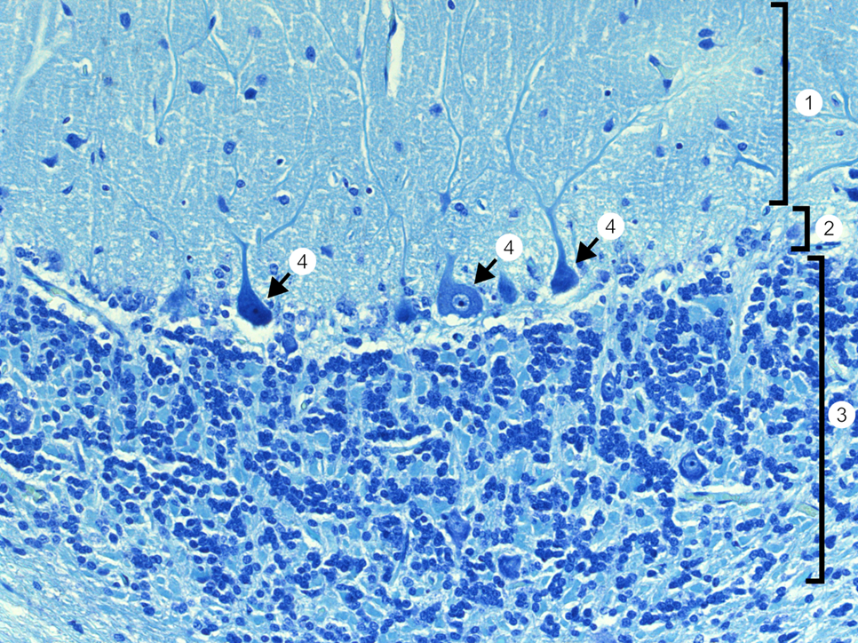
Препарат 1. Срез извилины мозжечка. Нервные клетки в сером веществе коры мозжечка располагаются тремя слоями: наружный – молекулярный (1, stratum moleculare), средний – ганглионарный (2, stratum ganglionare, stratum purkijense, слой грушевидных нейронов), внутренний – зернистый (3, stratum granulosum). Широкий молекулярный слой состоит главным образом из безмиелиновых нервных волокон, глиальных клеток и небольшого количества нейронов двух типов: звездчатых клеток – малых, имеющих отростки, не выходящие за пределы слоя, и корзинчатых клеток – больших и посылающих нейриты в нижележащий слой и образующих на телах грушевидных клеток (Пуркинье) характерные разветвления, имеющие вид корзинок. Ганглионарный слой образован одним рядом больших грушевидных клеток Пуркинье (4), от которых, как правило, отходят два дендрита, древовидно разветвляющихся в молекулярном слое, а аксон (нейрит) проникает в нижележащий слой и далее следует в белое вещество. Окрашивание толуидиновым синим с модификацией по Нисслю. Препарат кафедры гистологии, цитологии и эмбриологии Казанского ГМУ.

 

 

Препарат 2. Ганглионарный слой (stratum purkijense, слой грушевидных нейронов) коры мозжечка образован грушевидными клетками (Пуркинье) (1). От тела нейронов в поверхностный молекулярный слой отходят ветвящиеся дендриты (2), которые связываются с параллельными волокнами (3). К ганглионарному слою примыкает зернистый, представленный мелкими клетками-зернами. Импрегнация азотнокислым серебром по Бильшовскому. Препарат кафедры гистологии, цитологии и эмбриологии Казанского ГМУ.



Last modified: Monday, 7 April 2025, 6:58 AM