Препараты и схемы "Орган обоняния и вкуса"

Схема 1. Орган обоняния состоит из обонятельной слизистой оболочки (обонятельной выстилки), которая находится в носовой полости, и обонятельных луковиц, которые расположены в мозге. Входящие в состав обонятельной выстилки обонятельные рецепторные клетки имеют специализированные реснички, которые улавливают молекулы пахучих веществ и передают информацию в обонятельные клубочки. Отросток обонятельных рецепторных нейронов сопровождают глиальные клетки обонятельных структур. Эти доступные для выделения клетки хорошо переживают при трансплантации в структуры периферической и центральной нервной системы, обладают способностью поддерживать рост аксонов, поэтому их применяют для стимулирования регенерации при повреждении ЦНС. Обонятельные клубочки — это сферическая структура, расположенная в обонятельной луковице головного мозга. В ней присутствуют синапсы между окончаниями аксонов обонятельных рецепторных клеток (обонятельного нерва) и дендритами митральных, околоклубочковых (перигломерулярных) и пучковых нейронов. Клубочки имеют диаметр от 50–120 мкм и количество от 1100 до 1200 (Lindsay et al., 2020)

Схема 2. Обонятельный эпителий содержит рецепторные клетки, общее количество которых достигает 50 млн. Их центральные отростки (аксоны) передают информацию в обонятельную луковицу. Обонятельные рецепторные клетки окружены опорными клетками. Обонятельный эпителий содержит также пигментные клетки, от которых зависит желтый цвет обонятельной выстилки (Киселев АВ)

Схема 3. Структура обонятельной луковицы, нейроны и их связи. Рецепторные нейроны (синий цвет), интернейроны (красный цвет) и эфферентные нейроны (зеленый цвет), эфферентные волокна выделены черным https://i0.wp.com/neupsykey.com/wp-content/uploads/2019/05/00443.jpeg?w=960
Афферентные проекции от обонятельного эпителия образуют слой обонятельных нервных волокон на поверхности обонятельной луковицы. Эти аксоны заканчиваются исключительно в структурах, называемых обонятельными клубочками, которые находятся в клубочковом (гломерулярном) слое луковицы. Аксон обонятельного сенсорного нейрона образует синапсы только в одном клубочке. Каждый клубочек получает входные сигналы только от рецепторных нейронов одного типа.
Клубочки являются наиболее заметной структурой обонятельной луковицы. Ядро клубочка включает аксоны обонятельных рецепторных нейронов, которые разветвляются и образуют синапсы на кустистых окончаниях первичных дендритов (апикальных дендритов) митральных и пучковых клеток. Эти два типа нейронов функционально близки и вместе составляют эфферентные нейроны обонятельной луковицы. Рядом с клубочком находятся небольшие интернейроны, из которых основным типом являются околоклубочковые нейроны. Эта клетка имеет короткие ветвящиеся дендриты, которые обширно разветвляются внутри клубочка, и короткий аксон, который распространяется в пределах локализации примерно пяти клубочков.
На уровне обонятельного клубочка наблюдается значительная нейронная конвергенция; тысячи обонятельных рецепторных нейронов образуют возбуждающие (глутаматергические) аксодендритические синапсы на митральных, пучковых и околоклубочковых (перигломерулярных) клетках. Другие основные синаптические связи внутри клубочка представляют собой реципрокные дендродендритические синапсы между митральными или пучковыми клетками и перигломерулярными клетками. Синапсы митральных и пучковых клеток на перигломерулярных клетках являются возбуждающими (глутаматергическими), тогда как синапсы перигломерулярных клеток на митральных и пучковых клетках являются ингибирующими (ГАМКергическими).
Клубочковый слой также получает входные сигналы из других областей ЦНС через волокна с широким спектром нейротрансмиттеров и нейромодуляторов. Норадренергические волокна из голубого пятна и серотонинергические волокна из ядер шва среднего мозга и ростральных отделов моста заканчиваются в клубочках. Нервные волокна из ипсилатерального переднего обонятельного ядра и диагональной полоски (Stria diagonalis — полоска миелинизированных волокон, которая простирается от миндалевидного тела до паратерминальной извилины) заканчиваются в перигломерулярных пространствах, в первую очередь на околоклубочковых клетках. Возбуждающие аминокислоты, такие как глутамат, присутствуют в эфферентных волокнах, которые происходят из корковых структур.
Наружный сетчатый слой включает тела пучковых клеток вместе с первичными и вторичными дендритами (базальными дендритами) пучковых и митральных клеток и апикальными дендритами зернистых клеток. Внутри этого слоя апикальные дендриты зернистых клеток образуют реципрокные дендродендритические ГАМКергические синапсы с вторичными дендритами пучковых и митральных клеток. Эти синапсы модулируют выход пучковых и митральных клеток посредством латерального и обратного торможения. Митральные и пучковые клетки, в свою очередь, образуют возбуждающие глутаматергические синапсы с дендритами зернистых клеток.
Тонкий слой митральных клеток содержит нейроны с крупным перикарионом, а также аксоны пучковых нейронов, отростки зернистых нейронов и центробежные волокна, проходящие через этот слой.
Кнутри от слоя митральных клеток располагается слой зернистых клеток, главных интернейронов обонятельной луковицы. Этот слой также содержит первичные и коллатеральные аксоны митральных и пучковых клеток и волокна от переднего обонятельного ядра, обонятельной коры, клеток диагональной полоски (Stria diagonalis), голубого пятна и ядра шва. Зернистые клетки не имеют аксонов, их единственный выход осуществляется через дендродендритические ГАМКергические синапсы с митральными и пучковыми клетками. Кроме того, зернистые клетки получают многочисленные синаптические входы от коллатералей аксонов как митральных, так и пучковых клеток и центробежных афферентных волокон. Зернистые клетки предположительно модулируют активность обонятельной луковицы через ингибирующую петлю обратной связи, которая отключает активность митральных и пучковых нейронов https://neupsykey.com/olfaction-and-taste/

Схема 4. Связи нейронов основных типов в органе обоняния. «+» — возбуждающие синапсы, «–» — тормозные синапсы https://neupsykey.com/olfaction-and-taste/

Схема 5. Механизм обонятельной рецепции. 1. Молекула пахучего вещества связывается со специфическим белком обонятельного рецептора в клеточной мембране реснички обонятельной рецепторной клетки. 2. Активация рецептора стимулирует Golf-белок. 3. α Cубъединица Golf-белка активирует аденилатциклазу, что приводит к увеличению уровня цАМФ. 4: цАМФ связывается с катионным каналом, управляемым цАМФ. 5. Открытие этого канала увеличивает проницаемость для Na+, K+ и Ca2+. 6. Входящий ток приводит к деполяризации мембраны и увеличению внутриклеточного Ca2+. 7. Увеличение [Ca2+] открывает Ca-активируемые Cl-каналы. Открытие этих каналов вызывает большую деполяризацию вследствие нарастания [Cl–] в рецепторном обонятельном нейроне. 8. Если потенциал рецептора превышает порог, это запускает потенциалы действия в теле клетки, которые по аксону проводятся в мозг (Boron, Boulpaep, 2009)

Схема 6. Распределение вкусовых сосочков в языке (от кончика к корню). Показана локализация вкусовых почек в сосочке каждой разновидности. (Medical Physiology, 3rd Edition, Elsevier, Walter F. Boron, Emile L. Boulpaep)

Схема 7. Вкусовая почка состоит из 50–150 хеморецепторных клеток, а также опорных и базальных клеток. Хеморецепторные клетки образуют синапсы с нервными терминалями чувствительных нейронов. Апикальная поверхность содержит микроворсинки, выступающие в полость вкусового канала

Схема 8. Активация хеморецепторной клетки. В клетке выделяют апикальный и базолатеральный отделы, разделенные областью расположения плотных контактов. В апикальном отделе присутствуют вкусопередающие каналы (солёное и кислое) и рецепторы, связанные с G-белком (сладкое, умами и горькое), а также активируемые этим белком системы вторых посредников. Потенциалозависимые Nа+-, K+- и Ca2+-каналы опосредуют процессы освобождения нейромедиатора из пресинаптической части в базальном отделе клетки. TRPM5 (Transient Receptor Potential cation channel subfamily M member 5) — неселективный катионный канал, активируется при повышении внутриклеточного Ca2+ (Neuroscience. Ed. Purves D. et al., 3rd ed., Sinauer Associates, Inc, 2004)

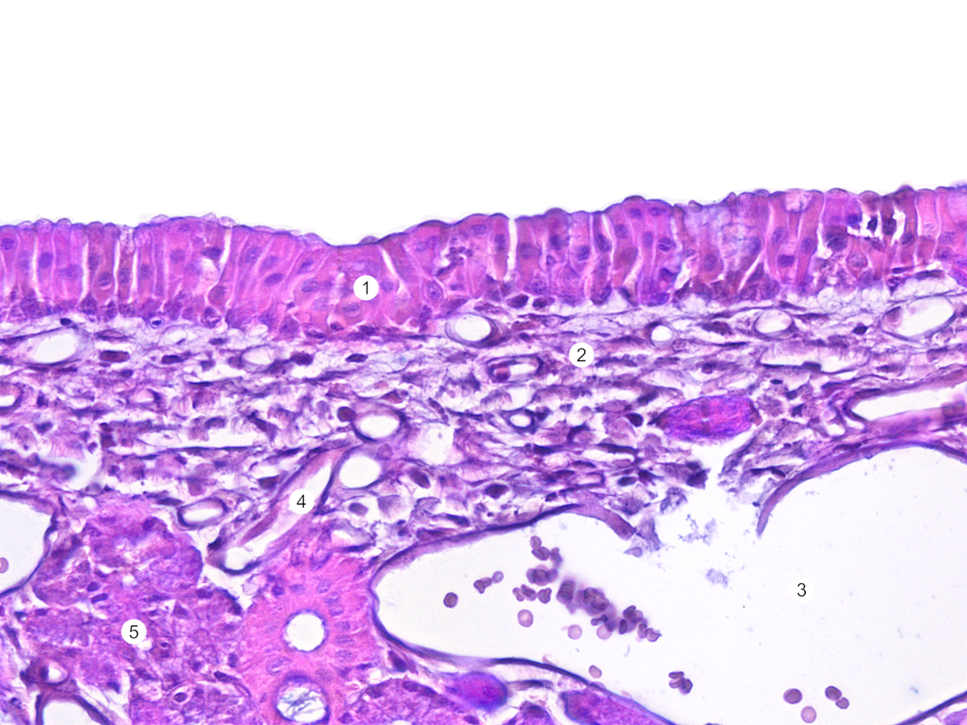
Препарат 1. Обонятельная выстилка. Однослойный многорядный мерцательный эпителий. В подэпителиальной соединительной ткани расположены концевые отделы обонятельных желез, кровеносные сосуды и пучки немиелинизированных нервных волокон обонятельного нерва. Слизь, секретируемая обонятельными железами, покрывает поверхность обонятельной выстилки слоем толщиной 60 мкм. 1 — обонятельный эпителий. 2 — собственный слой слизистой оболочки носа. 3 — кровеносный сосуд. 4 —лимфатический сосуд. 5 — боуменова железа. Препарат кафедры гистологии, цитологии и эмбриологии Казанского ГМУ.

Препарат 2. Вкусовые почки в листовидном сосочке языка. Гематоксилин и эозин. 1 — вкусовая пора. 2 — поверхность многослойного эпителия сосочка. 3 — эпителиоциты. 4 — клетки вкусовой почки. Препарат кафедры гистологии, цитологии и эмбриологии Казанского ГМУ.