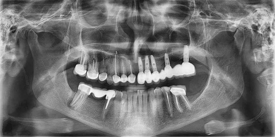
Задание

1. Есть ли на снимке признаки воспаления в области верхушек корней зубов?
2. Наблюдаются ли ретенированные или дистопированные зубы?
3. Каково состояние костной ткани вокруг зубов — есть ли признаки резорбции или кисты?
4. Присутствуют ли патологические изменения в височно-нижнечелюстном суставе?
5. Есть ли металлические конструкции или инородные тела, их состояние и влияние на окружающие ткани?