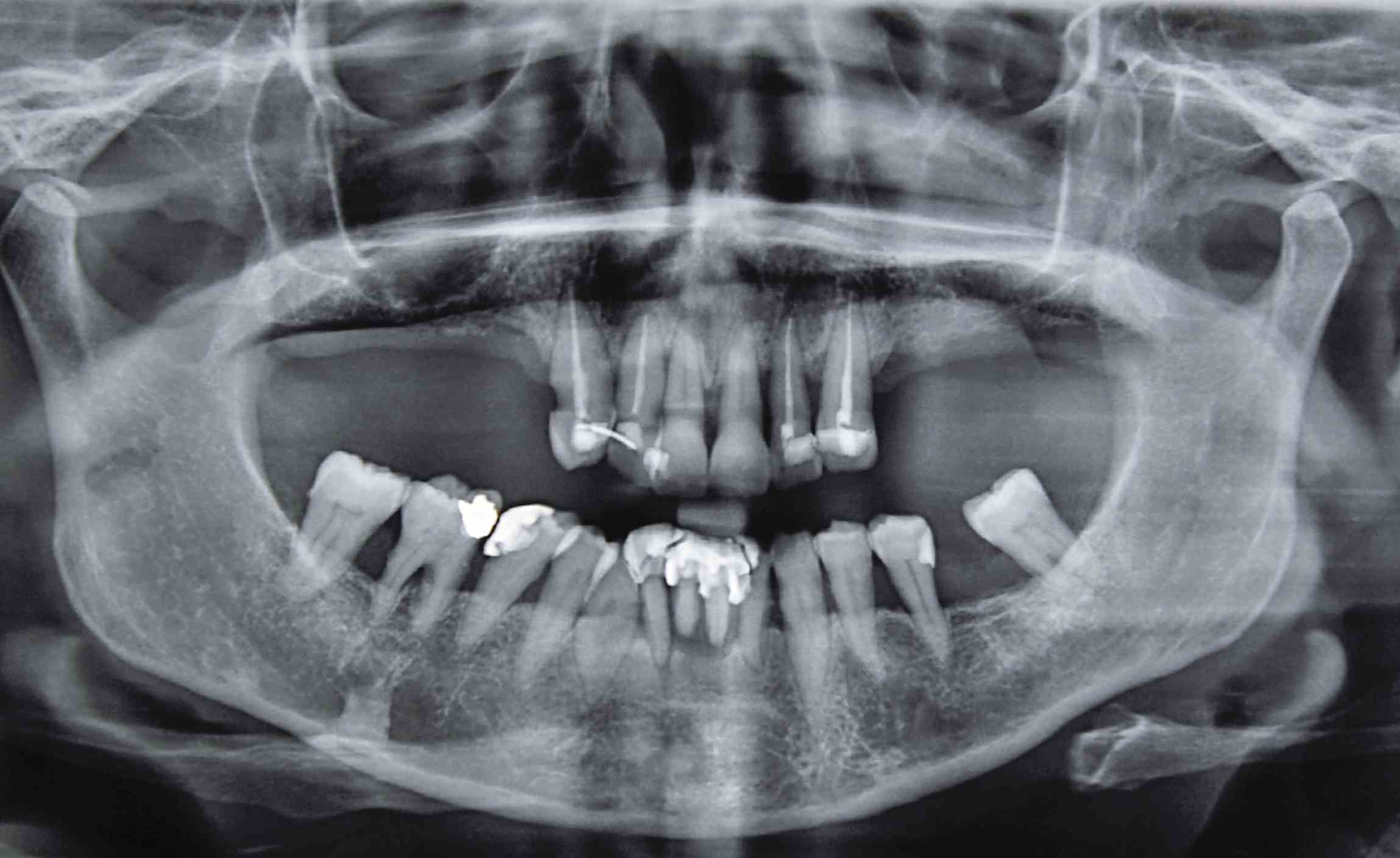
Задание

Оптг

1. Есть ли на снимке признаки воспаления в области верхушек корней зубов? 

2. Наблюдаются ли ретенированные или дистопированные зубы? 

3. Каково состояние костной ткани вокруг зубов — есть ли признаки резорбции или кисты? 

4. Присутствуют ли патологические изменения в височно-нижнечелюстном суставе?

5. Поставьте  диагноз 

6. Составьте  план лечения